Retrouvez une dentition complète et esthétique grâce à des implants dentaires de haute précision, conçus pour durer.

Pose des implants

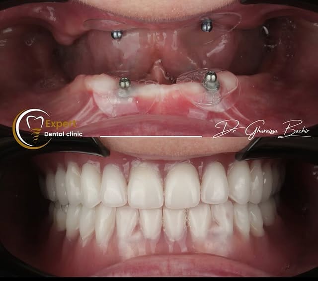
Pose d'implants dentaires par des spécialistes

Pose d'Implants Dentaires

Redonnez fonctionnalité et esthétique à votre sourire avec nos implants dentaires de haute précision. Notre protocole en 3 étapes (consultation, pose, prothèse) s'effectue en 2 à 4 mois avec un taux de réussite de 98%.

Avantages exclusifs de nos implants

  • Matériaux premium - Titane grade 5 et zircone biocompatible
  • Technologie 3D - Planification numérique pour une pose parfaite
  • Protocole indolore - Sédation consciente disponible
  • Garantie longue durée - 10 ans sur les implants
Évaluer votre éligibilité aux implants

Notre Protocole d'Implantation Dentaire

Les 3 Étapes Clés de Votre Traitement

1. Diagnostic Précis :
Scanner 3D et bilan buccal complet pour évaluer la densité osseuse et planifier l'implantologie guidée. Simulation numérique de votre futur sourire.

2. Intervention Chirurgicale :
Pose de l'implant en titane sous anesthésie locale (ou sédation consciente). Procédure mini-invasive grâce à notre guide chirurgical numérique.

3. Réhabilitation Esthétique :
Après 2-4 mois d'ostéointégration, pose de la couronne en zircone ou céramique pour un résultat naturel et fonctionnel.

Délais & Suivi

Durée totale : 2 à 6 mois selon votre cas
Séances : 3 à 5 rendez-vous de 1h à 1h30
Suivi : Contrôles à 1 semaine, 1 mois et 1 an
Garantie : 10 ans sur les implants

Résultats Garantis

✔ Fonction masticatoire restaurée à 98%
✔ Esthétique dentaire naturelle
✔ Stabilité à long terme (20+ ans)
✔ Taux de réussite de 97%

"Nos patients retrouvent confiance en leur sourire dès les premiers jours."

Prenez rendez-vous dès aujourd'hui

Notre équipe de spécialistes est prête à vous accueillir pour des soins dentaires personnalisés. Profitez d'une consultation complète et découvrez nos solutions adaptées à vos besoins.

Prendre rendez-vous
Ou contactez-nous au 055 913 9585
0559139585

Besoin d'une aide d'urgence ? Appelez-nous !